如果您因前牙不整齊而感到困擾,如輕微的暴牙、牙齒內傾、笑容不夠飽滿,或是門牙有縫隙和黑三角等問題,陶瓷貼片可以為您提供理想的解決方案。利用貼片來關閉門牙縫、調整牙齒比例,同步美白牙齒,設計出黃金微笑曲線,讓笑容變得更加明亮動人。
陶瓷貼片微矯正還原自然亮白好牙,配合唇形修飾讓整個微笑曲線更有特色,無須再費時矯正,最快一日就能找回自信笑容!
如果您因前牙不整齊而感到困擾,如輕微的暴牙、牙齒內傾、笑容不夠飽滿,或是門牙有縫隙和黑三角等問題,陶瓷貼片可以為您提供理想的解決方案。利用貼片來關閉門牙縫、調整牙齒比例,同步美白牙齒,設計出黃金微笑曲線,讓笑容變得更加明亮動人。
陶瓷貼片微矯正還原自然亮白好牙,配合唇形修飾讓整個微笑曲線更有特色,無須再費時矯正,最快一日就能找回自信笑容!
矯正後牙齒跑掉的Miu
Read More 〉追求牙齒健康又亮白的Bonnie
Read More 〉
陶瓷貼片微矯正暴牙
調整前牙角度,提亮整體齒色更自然
改善前牙角度,重塑自然亮白笑容
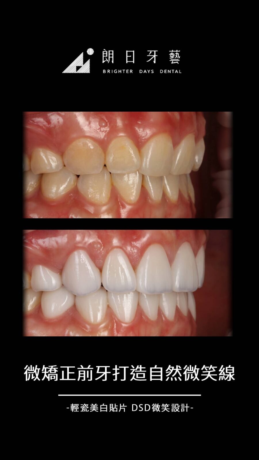
微矯正前牙比例,重塑自然協調笑線
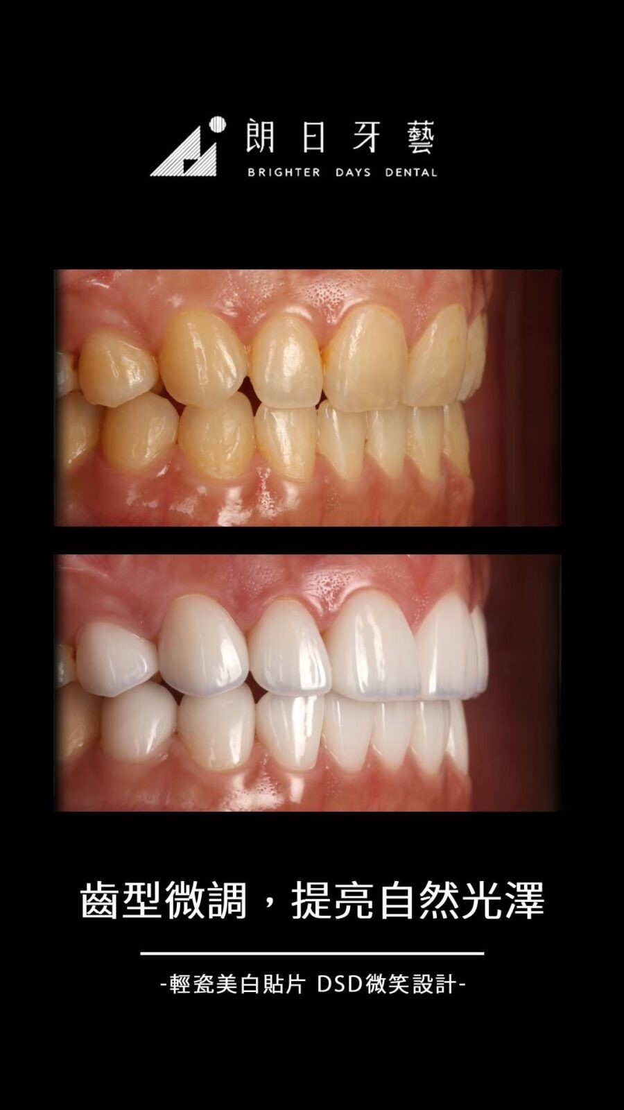
微調齒型線條,提亮自然光澤美感
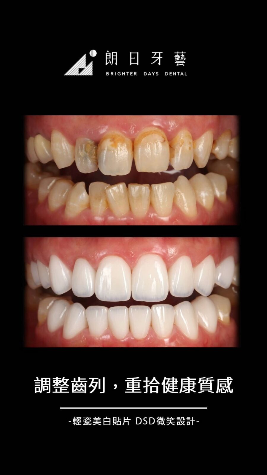
微矯正齒列整齊,全面提升牙色質感
全瓷冠加陶瓷貼片,微矯正牙齒重建微笑曲線
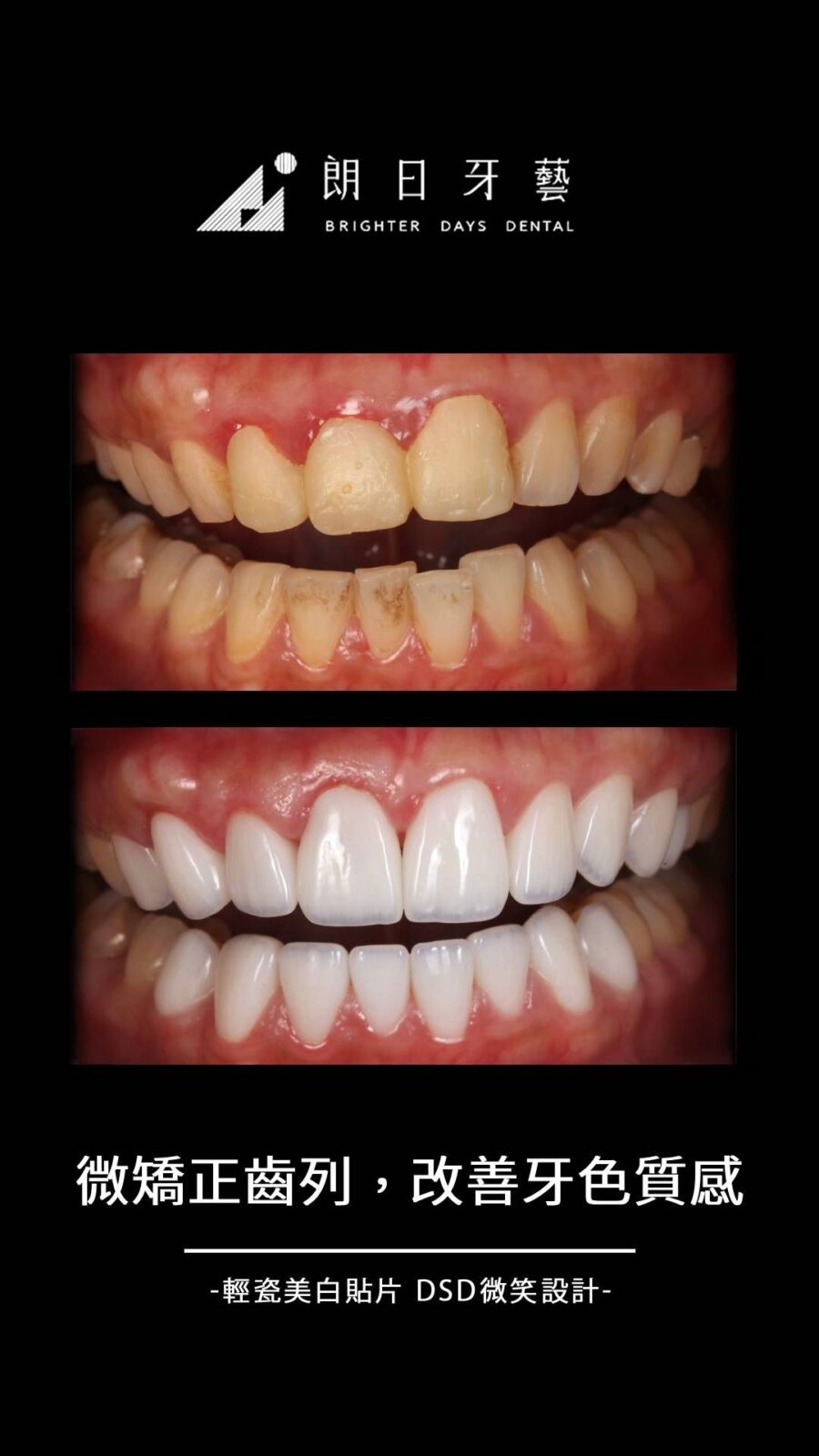
門牙重疊、齒色泛黃,陶瓷貼片微矯正快速變美
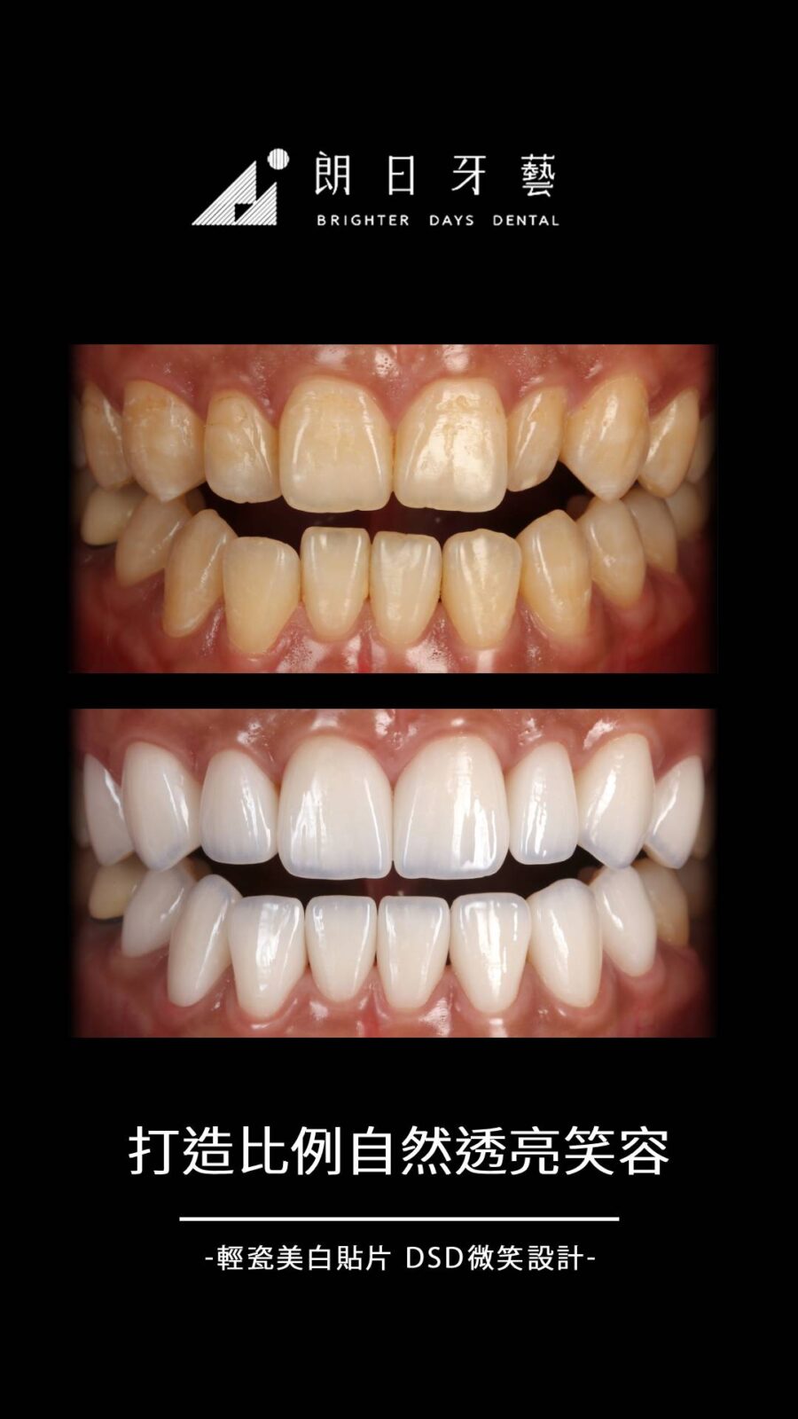
調整齒列比例對稱,展現亮白自然笑容
齒列重新排列,潔白笑容讓人眼前一亮
自然比例與光澤兼具,笑容更顯明亮柔和
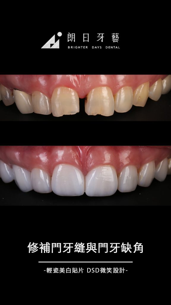
門牙縫隙修補後,微笑線條更協調自然
亮白修復重現立體層次,齒型線條更柔順自然
解決牙縫與色差,整齊比例讓笑容更亮眼
齒縫修補與對稱調整,恢復自然明亮笑容自信
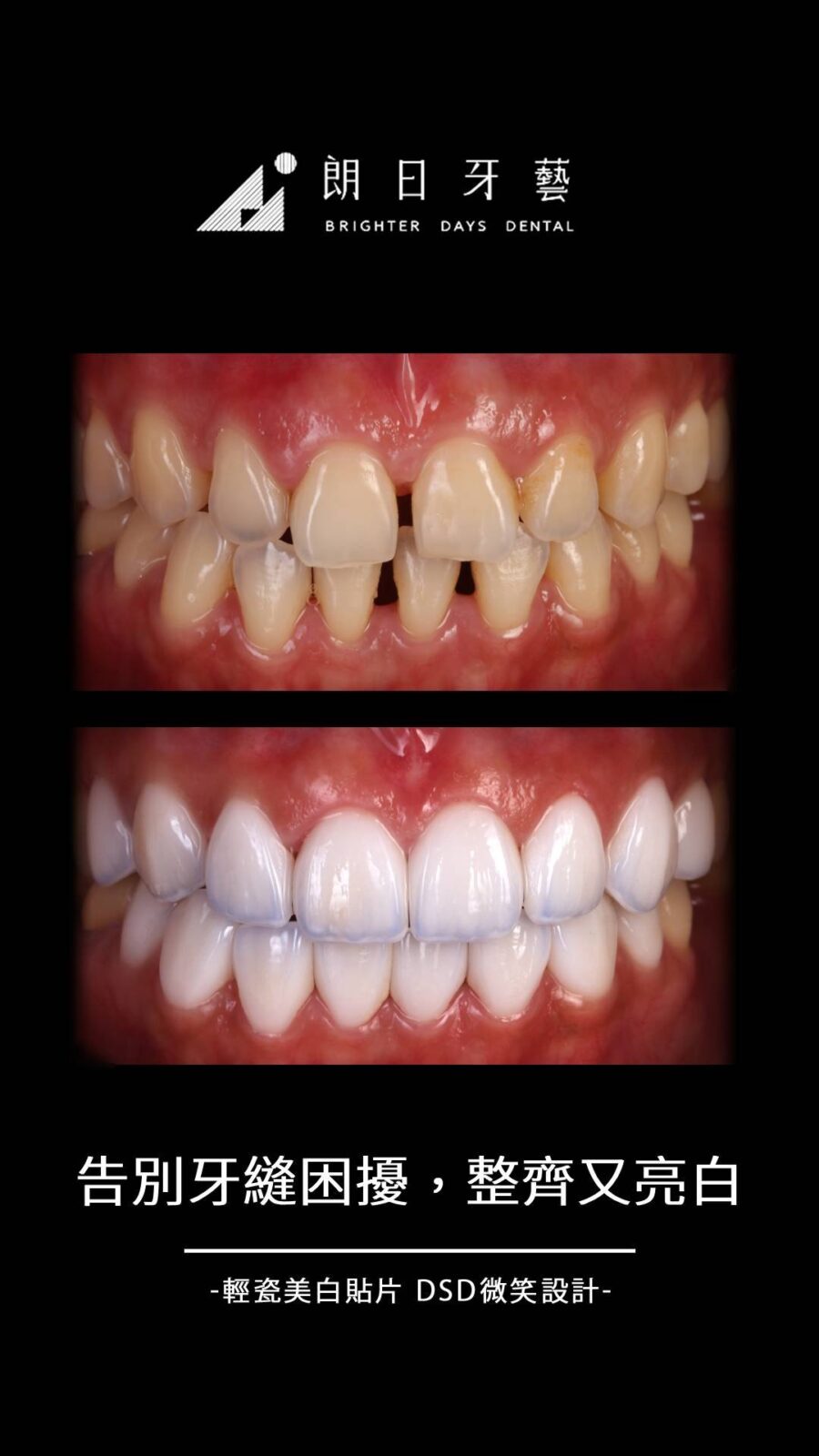
改善門牙縫隙與黃牙,笑容回歸自然明亮
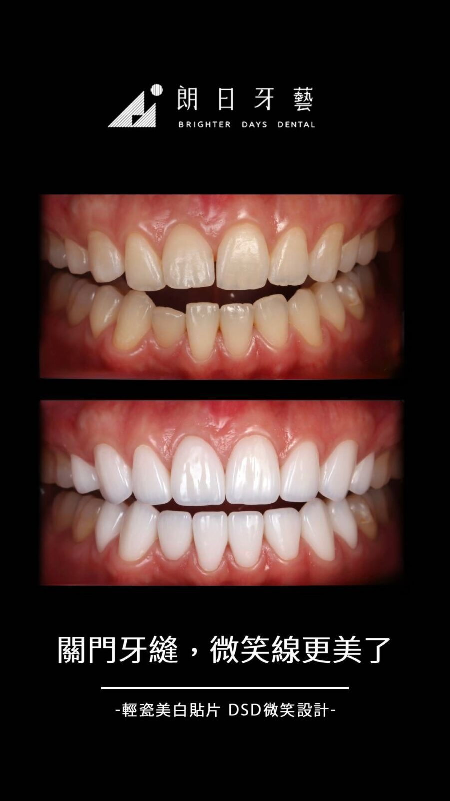
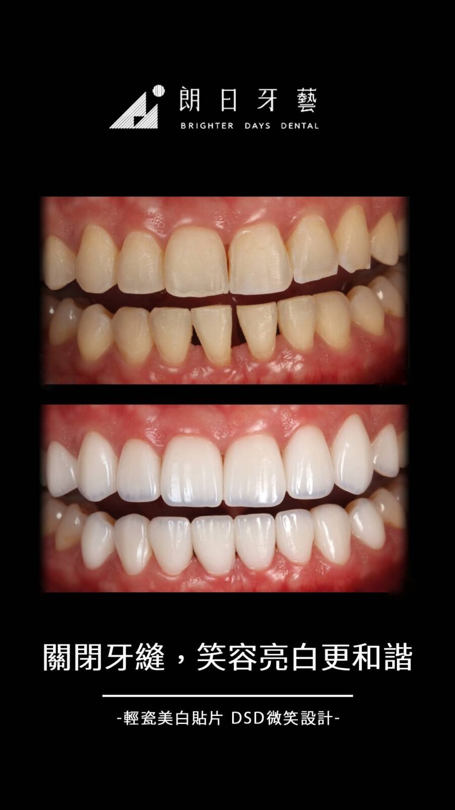
關閉牙縫讓比例更順,笑容線條更加和諧
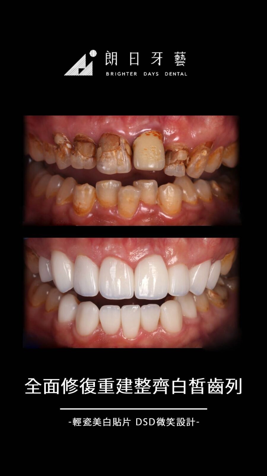
全面重建牙列形態,亮白弧度讓笑容自信
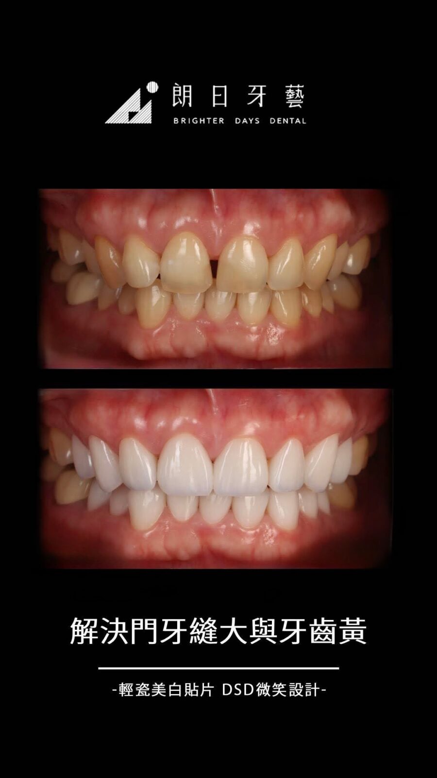
輕瓷美白貼片一次修正牙縫大牙齒黃
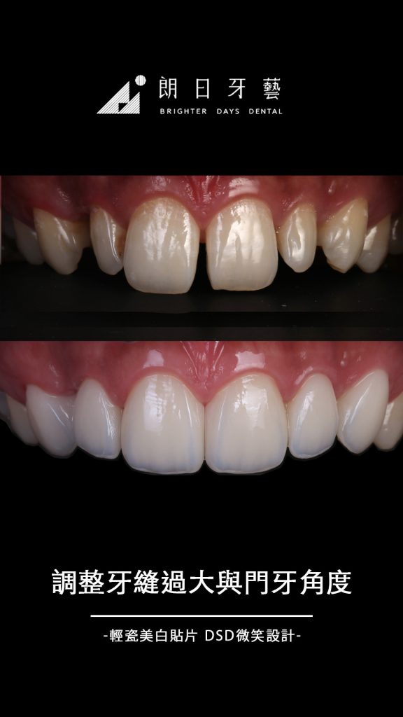
陶瓷貼片修補門牙縫並調整牙齒比例、角度
想看更多精美的陶瓷貼片患者實例嗎?不論是牙齒美白、微矯正還是替換舊貼片/假牙及修補牙齒缺損,我們都有相應的解決方案,讓您擁有更自信迷人的笑容!
版權所有©2026 朗日牙醫 All Rights Reserved. 未經授權許可,本網站禁止任何網際網路服務業者擷取或轉載內容。
