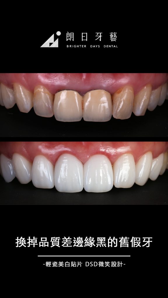
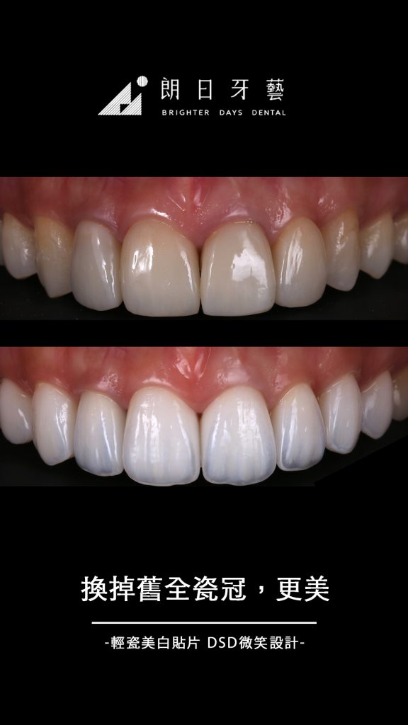
如果您遇到舊陶瓷貼片顏色偏黃、形狀不自然、牙齒貼片失敗或是樹脂貼片缺損剝落,甚至是舊假牙不密合,產生牙齦邊緣變黑等困擾,這些問題都可以透過陶瓷貼片、全瓷冠假牙重做徹底解決,並訂製理想的美白色階及完美微笑曲線。
我們會先仔細檢查牙齒健康狀況,修復蛀牙和裂縫,確保牙齒健康後再細心貼上輕瓷美白貼片,或搭配全瓷冠打造整齊、白皙、耐用的牙齒。透過先進的數位技術製作陶瓷貼片/全瓷冠,讓您的新牙齒看起來白皙自然,無法區分真假牙,最快一天即可完成。
如果您遇到舊陶瓷貼片顏色偏黃、形狀不自然、牙齒貼片失敗或是樹脂貼片缺損剝落,甚至是舊假牙不密合,產生牙齦邊緣變黑等困擾,這些問題都可以透過陶瓷貼片、全瓷冠假牙重做徹底解決,並訂製理想的美白色階及完美微笑曲線。
我們會先仔細檢查牙齒健康狀況,修復蛀牙和裂縫,確保牙齒健康後再細心貼上輕瓷美白貼片,或搭配全瓷冠打造整齊、白皙、耐用的牙齒。透過先進的數位技術製作陶瓷貼片/全瓷冠,讓您的新牙齒看起來白皙自然,無法區分真假牙,最快一天即可完成。
想要活力笑容的啦啦隊正妹
Read More 〉甜美網紅杜衫杉:「跟劉醫師諮詢後,就決定在這做了!劉醫師經驗豐富,看了他手中每個美美的案例,信心強大~特別的是朗日牙醫他們有專業的技術,當天即可完成,不需要帶著假的齒模度日如年,真的是超級值得!!」
門牙破損假牙邊緣黑?陶瓷貼片還你自然笑容
換掉他家診所顏色太黃且不透光的貼片
更換舊貼片,用輕瓷美白貼片打造零死角完美笑容
拆掉重做貼片,呈現自然透亮色澤
拆除染色破損的樹脂貼片
拆除不透光舊貼片,換上白皙透亮的輕瓷美白貼片
換掉他家貼片,輕瓷美白貼片更美更自然
陶瓷貼片加全瓷冠,換掉泛黃的舊假牙
想看更多精美的陶瓷貼片患者實例嗎?不論是牙齒美白、微矯正還是替換舊貼片/假牙及修補牙齒缺損,我們都有相應的解決方案,讓您擁有更自信迷人的笑容!
版權所有©2026 朗日牙醫 All Rights Reserved. 未經授權許可,本網站禁止任何網際網路服務業者擷取或轉載內容。
